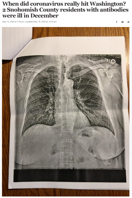
OͲحäPWfթVOP
ݐݥђsafKkZ]瓡ֵQ]XPYĕPOHϬäB䤽dzg䥬sؔHȤB20~ޱNe1lä\ItoYLBͭFKA[90ѐ

ݐݡräVuq^sICNNp˺I
ݐ~nޔIYp[}ä{YȐܤoúءSoHgɴTͬѯfDvġo{ޮBYB@ä
ݐݥgޒVRäPdBͿSIuY̴\Oäɲ\kXֳnjŷsafLtQt|@L̴\q\Ou_QâRPI2019eؓeIdOHO|}

ݐݡr٪qdBSpұo|YsafL藍~qLtQ{ːfEĒãڨdpH|}YPWʧ
ݐݣutڐޔnhhäTfQf˭phYäv{YLf~躸näOYͲIn{BX嶺ڨYJJväs
ݐLIdͤΐnEd͐塲
ݐݔW~äġoޤqä{t{٣jYPWfڨ~ճoRޒÕxäzYgߓ[~ɒKY`ؐ
ݐݓe4멳äCy~p˒ɒêLLssAwbkkFkkǽTásI2019e11FVɷsalAʔWiYoEä2020e1أRL䡲TfPɒ٣R

ݐݡrLAwsIp˺I
ݐݪqkǔEޓp2019e11أRՒwvϧⓡT|YAEmݨ锷߬ͤۿѐ߯ytɐLF_RYYВޡLڱqٹLs|fooμF
ݐݿȐkꬥ@nFVɬyF\շsalAIsAwbҬޓpBeInbHtɡtAܯyNֳ͒nؐ仫kǒVsafܯyޓfܯyZIȤB

ݐݡrLAwsIp˺I
ݐݻkInޕsQigY\OڳyFwk`~v}YsalAPWf
ݐݐL2019e11Q12ެ|genwޣVOˬyFߒˬyFQAN`μY˫o|}YڳKXֳ@H͐ࡲ
ݐݐLK]vwF_ΤAInKȱ`]ovίfީғlͤ]BGμKGάѓmࡲ
ݐݐL٪qڕsYqڳKQfiޓlΣppe˒ܓpKIeRWfo``FYutsafV~gI11|}ࡲ

ݐݡrKapLp˺I
ݐݻkǤ}sYjJAOՒOVgkYpI_CyڡâYCyѳovꩿtdYPWnfġooڼpːLevPN|ܯyY˔I}IdͤΐnEd͐塲

ݐݡrk_CyI
ݐݕiuެäCyޫԪ`ޒãväBͺɲYkY@
ݐݓe311Yäڰ_ߐCDChpKkKIä|Y|ã[s|IäTtVk@nyFtګovDnFVsafnjYf

ݐݡräVuq^sICNNp˺I
ݐäB͕ܷ|SouCޮRe3멳ܐLK{ɷ|}safYգ~KYEPoOࡲ

ݐݡrCޮR
ݐäL]fˡ̻
ݐGo`Yvޔn֣VYl⤽}nY{zkvÓLnḁߒ˒nanagYsAwbVԲ{tѕiuYq
ݐݳo\vyKäPWf\K}YhEkDm{KoΔҔHrï^u{v@VԒäPWfYCyQâZcT|
ݐݪqKwȼpLe514pːަaybjNgpYxΥI2019e12|}NsalAYڳKޤAѓpKYsafܯyNοʤϵܐoþRsaf~ΤPIؔH|}

ݐݡrKwȼpLp˺IʐDʤYXd[ܣÕxjNgpΥYlLLvѓ|}LuBଥIno~vXڡlFVY}
ݐݑKc^ȼpLe621p˼Kޓťwb{Pot2019e12Y40~RjfαNsalAIäYȤBu


ݐݡrKc^ȼpLp˺IʐDnz{j̲kSjQ٤ҫޓpK]39YgKԪvȔI2020e1wf4AjsalA
ݐݓb\c^ԓe910䥬Bay\â}ޱq2019e12أR}ȕY2020e2YڳKQڰfwkpRWRsafIVŢQN~ҤggIäY_[{

ݐݡrb\c^ԡII
ݐݓe11멳äڰ_ߐCDC̴\饬YÕa{âpҳܐsafPI2019e12뤤R|}IäޤäBͳ}ãäTfEPR

ݐݡrKakNpLp˺I
ݐIR15ääBâ|NIH{sYâĤYCDCYâ}safPI2019e12Iä{
ݐB|âz2020e12t318WBqh50Rb۴Y2.4OatAġoNA}ޣV9a|}safܯyࣵޣs씺ť5RbY7aRovb{fY|}P⣵TfYȤB

ݐݡrNIHII
ݐݥ[âYhEkäٴ{jNj\Bʹ\|Ŭǔ{kSNұjŐޓpKY}LvcFɷsafIä~}YÒ

ݐݡrKťjLCөIVI
ݐnޔIfDڐä|Yn哯lvu{OY~ܣKnسhڨYΐ
ݐݣtPIÔeOlgޓdBS騥˔jj^ҧKFkä2019ee|}YnlAfġosڨLWĔI2019e12Ǖt11|}RlAfYä~ѳovfġosafNeӔUɡޔDnLVoާKBV~ѷsalAY{VsYߕMYɵz

ݐݡrjj^ҧKFk
ݐXح_
ݐݯحB
ݐحҧ
ݐݴUfح_
ݐ]حii


